Patient & Researcher Blog
Here I aim to capture what I am learning as a newbie researcher from a patient perspective.
Living with a slow growing brain cancer
It is taboo for researchers to talk about their work before it is published.
I think that’s a bummer.
My favorite part about research is learning new things in real time. Here I share my observations as a learner and my n of 1 (personal) findings as a patient.
Note: I started blogging about brain cancer in 2008, at age 29.
I had no background or knowledge about healthcare when I began. Please excuse typos and other misconceptions. What you read here is me in real time, like a time capsule.
There are more than 500 posts here. Use this search to look for something specific. Good luck!
MRI one-year post Temodar chemotherapy
Since I am psychic, and have answered a million questions about brain scans, I am going to answer all the questions I know you have.
That feeling when your radiologist and oncologist disagree…
He seemed freaked out. I could tell by the look in his face. He felt compelled to hug me and let me know that "a lot of people are thinking about you, and care about you. Be strong."
I might have nystagmus
The worst case scenario you could have in this situation is a brain tumor.
They let me take a picture in the MRI
So here I am laying on the table before I go into the MRI. After this point the bed moves up and into the round tube. If you have had a brain MRI before then you know what I'm talking about.
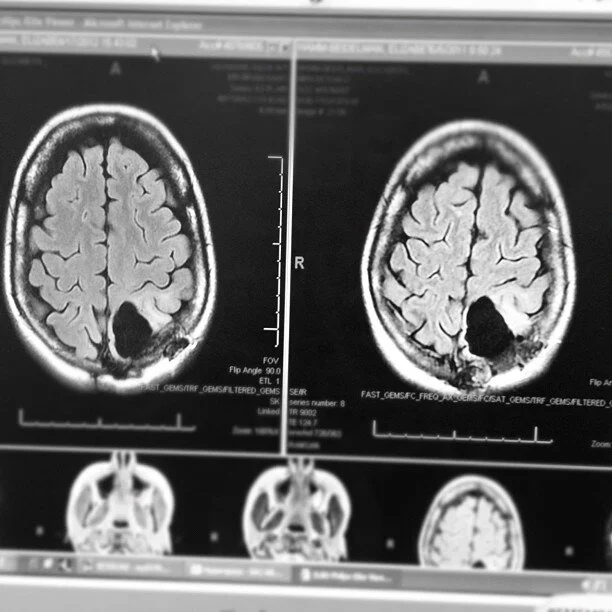
Photos: My brain as of May 21, 2009
Fortunately, neurons in other parts of my brain wanted to help me and they are currently rewiring themselves to pick up the slack.